不論是陶瓷貼片、全瓷冠,還是日常診療,許家榕醫師總能用專業與美感照顧每一位患者的微笑。這些來自名人與素人的真心推薦,是對他醫術與美感的真實信任。

今天來做牙齒冷光美白😍 潔白的笑容更有自信了。前兩年我第一次做冷光美白的時候,我覺得一個半小時的療程好煎熬,嘴巴好痠,牙齒因為藥劑的刺激也有點敏感。但今天我卻是完全不一樣的感覺,我好好休息了一個半小時,醫生和護理人員的溫柔照顧,舒服的診所環境,大片落地玻璃的景色,突然嘴也不痠、牙齒也幾乎沒有感覺,真的非常享受
有人常說:「愛笑的人,運氣不會太差」,這次會選擇悅庭牙醫診所,主要是他們致力於數位牙科,用口掃技術與精細設計為每一位患者打造完美微笑曲線設計,當日完成療程減少患者往返的辛勞和交通工具的碳排放。
台北牙醫真的很推薦悅庭牙醫,他們醫師屢次出國演講,把台灣做全瓷冠的技術發揚到15國家,29個海外城市,可以說是台灣之光,也是國內前牙美學的權威。
重點是悅庭牙醫診所不只環境很優美,而且每一位醫師都非常親切,這次看診的許家榕醫師全程溫柔的講解與陪伴,確認我對於前牙美觀區的需求和期待,當天就讓我帶著健康美美的牙齒回家,而且悅庭做的全瓷冠還有3年保固,可見對品質很有信心!回家能安心吃飯,拍照能自信露出燦笑,相信之後的健康、運氣、氣勢也都會Up Up!!


前陣子很常跑牙醫,大家都問我該不會是要把虎牙矯正掉了吧😱 虎牙控不用擔心,我只有偷偷做了前排4顆牙齒的矯正!!這也是我第一次知道原來牙齒還可以這樣客製化留下我的虎牙整個太開心
這次到 @yttsdcom 悅庭牙醫認真的問了一下覺得門牙歪歪的也想做陶瓷貼片,但是真的不想動虎牙有沒有辦法呢🥹 感謝 @jiarong1206 許醫師多次諮詢+畫設計圖給我看🥰弄完之後只能說大滿意!!拯救了我的上排四顆牙還超級自然💯💯以後也省去了美白牙齒的$$了
覺得十分滿意,也感謝 @shasha77.daily 的介紹。現在牙醫美容真的好先進,都可以超級客製化,做出來也都很自然,牙齒不知道為什麼改一點點就變化好大,以後可以更爽的放開大笑了。而且我的虎牙也沒有消失!!!超讚!!


這次在網路上研究許久,決定選擇超細心的許家榕醫師!做上排六顆(5貼片+1根管全瓷冠)全程只有打麻藥在小刺,其餘時間發呆聊天完全不痛,而且進程比我想的快很多。總共去三次 (評估/上貼片/其餘牙齒冷光美白)感謝醫師細心關懷,常常會鼓勵我XD 過程中也有確認我是不是哪邊比較敏感,麻藥需不需要補,體驗非常好。也感謝悅庭本身 櫃檯/諮詢/牙助都很貼心!最後針對貼片,我真的覺得這裡的貼片很厲害,尾端微微透亮如真,整個側面也是仿真牙紋路,超級仿真,無敵滿意☀️☀️☀️☀️☀️

許家榕醫生人很和善,很溫柔,看牙醫終於不會感覺到恐懼,而且看診環境很舒適,每位護理人員也都很溫柔。

已給許家榕醫生診療多次,許醫師溫和親切,會顧慮患者的感受,跟診的助理郁淇也是細心親切,看診的一切極好

許家榕醫師專業又親切,不會一直推銷要花很多錢的方案,反而是清楚解釋每種方案的差別,而且他對其他工作人員也超有禮貌,有禮貌到會讓你覺得他對你的牙齒也會很有禮貌😂所以補牙的過程感覺很安心,推薦給會害怕看牙醫的人

許家榕醫生人很和善,很溫柔,看牙醫終於不會感覺到恐懼,而且看診環境很舒適,每位護理人員也都很溫柔。

本身非常怕痛~謝謝許家榕醫師耐心進行無痛洗牙!接待的諮詢師和秘書都非常親切講解流程,大推👍👍

悅庭候診室和有獨立診間寬敞乾淨舒適,許家榕醫師看診很親切,牙齒問題說明很清楚,醫療秘書先晴和牙醫助理服務也都很親切,讓我很放心來看診。

超級推許家榕醫師!人很nice,也很細心。洗牙過程中會一直關心你的情況。在諮詢美白療程的時候會根據每個人個情況做推薦,不會故意推很貴的療程。櫃檯的育庭服務也很好~

許醫師非常細心、溫柔聲音而且聲音好好聽,過程中不斷鼓勵緊張的我們,謝謝專業的醫師與牙助,專業的醫療服務。非常推薦!

許家榕醫師技術好又親切!!大推!診所地點交通方便,環境優美!櫃檯人員婷筠服務親切~

許醫師人很好很溫柔有耐心!讓小朋友不怕看牙齒。診所所有遇到的護理人員與服務人員也都很好!

今天我和兩個兒子(8歲、10歲)一起來找許家榕醫師看牙。說真的,許醫師是我看牙史來遇過最溫和有禮的醫師。對孩子們動作輕柔、口氣親切;問他任何問題都會專業誠懇地回答。今天的看牙體驗真的很棒,除了超高級的硬體設備外,最重要的是從醫師、牙助到櫃檯人員,每位都展現出百分百的專業與禮貌。之後一定會再來找許醫師看牙!

許醫師有耐心而且超仔細,洗牙之餘還幫我解決困擾我很久的染色,牙助郁淇也好溫柔好可愛,悅庭讚讚讚

許家榕醫師非常有耐心,技術很好,溫和有禮,高度肯定👍

許家榕醫生檢查非常仔細,說明也很親切清楚,看牙醫容易緊張的人一定要找許家榕醫生看診,悅庭整體環境超級舒適,看診都是獨立包廂心情會比較放鬆,還有咖啡機可以喝咖啡真好!從一樓到看診的每一位服務人員都很專業又細心,非常推薦給身邊朋友~

因為以前在外面診所假牙套沒做好,這次選擇來悅庭重做,許家榕醫師和靖雅護理師都非常專業和親切,所有的流程和進度都會隨時清楚說明,讓人非常安心!最棒的是,從建模到裝好正式假牙,一天就能完成,真是上班族福音👍

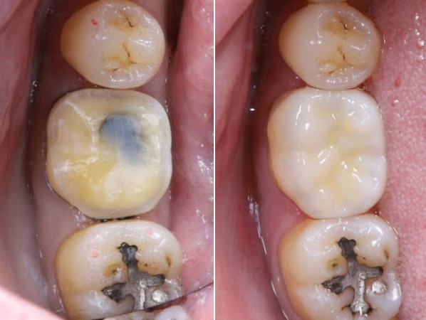
一直以來都有定期洗牙,今天做了人生第一顆的嵌體,因為我的大臼齒填補多次,加上銀粉也劣化了,許家榕醫師建議我做嵌體保護。顧問巧琳明確仔細的說明流程跟報價,有問題還能用line聯絡,解決我的疑問。許醫師打麻藥完全不痛,全程也都很溫柔,會告知我下一個動作要做什麼,還會一直很客氣的說謝謝。
助理郁淇很專業,動作流暢,跟醫師配合的很好,吸口水、擋舌頭都沒有弄痛我。櫃檯陳薇很溫柔細心穩重,很仔細的衛教。最重要的是幫我做嵌體的技師旻芳,畢竟要用很久的東西,2個小時就完成了,而且一試ok,完全不用修改調整。
嵌體有3年保固也是很重要的。附上磨完牙齒跟黏完嵌體的照片,因為許醫師有拍照記錄,我就不要臉的跟醫師要照片來分享。


唯一支持許家榕醫生,非常有耐心,而且很細心的處理牙齒的問題,牙助也很專業很有耐心,從貼片到一般牙齒的維護檢查,許醫生都很仔細,每個步驟都會先跟你說等一下可能會有的感覺,不停的鼓勵你,給許醫師看牙一點都不可怕,唯一推薦👍👍👍👍

真的很感謝許家榕醫師的專業跟細心,現在可以放心大笑說話真的是重獲新生!!!😭🙌
在去年搜尋牙齒美白找到悅庭(居家美白真的效果好又方便喔推推),然後再發現他們還有專設前牙部門,當天用官方line 很快就約好了,想說去了解看看,沒想到就開啟了神奇的旅程🥺
原本已經不抱希望的牙齒美觀問題,想說一輩子就這樣吧...(在其他診所評估過,是需要牙釘、拔牙、經歷五六年才有可能調整的,工程太大一直很卻步)但在許醫師的專業規劃下,竟然在短短不到一年…就解決了!!完成當晚在診間真的是感動得哭出來😭
因為以前也做過牙齒,當時做好是要來回跟廠商調整幾週到幾個月才會做好,咬合的調整也是一個關卡
但因為悅庭自己就有專業技師,這次做貼片,無論在速度品質色澤的細緻真的都是好厲害~而咬合的問題都還不用提出,許醫師早就想好了怎麼修整,現在就像天然的牙齒一樣,一點不適都沒有,後續的維持器也規劃了最適合我的方式
每一個修牙齒的步驟都是用最精細的儀器,做最細緻範圍的調整,真的是貼片界的天花板🤣
麻醉也是我遇過最不痛的!好聰明先塗麻藥在表面再下針!下針就不那麼痛了啊~~以前打麻醉怎麼都沒想到啦🤣白痛了真的
總之回想起療程,有太多太多說不完的細心跟貼心了,牙齒是好重要影響健康跟心理狀態的器官,這次能遇到專業無比的許醫師已經很感恩,更幸運是許醫師很親切,忙著處理牙齒還要關心我們感受,跟助理說話合作也是好溫柔 鼓勵肯定的對話
(ps每一個人感受不同,不要造成醫師壓力~就算遇到的時候沒有這樣,也不要逼醫療人員符合期待喔😆醫療人員不是服務業,有專業醫術幫助我們解決問題就是一百分了!讓他們好好的工作~~)
在悅庭遇到貼心的團隊真的好棒,實在的價格,但比一般診所更多了好舒適高級的環境,甚至有牙齒顧問(感謝巧琳🥰)關心狀況,感謝技師們、牙助們、感謝客服人員,謝謝這一切!
(每一個人狀況不同,以上都是個人小小經驗)不知不覺花了些時間打了很多字,就是想好好謝謝專業細心、值得信賴的許家榕醫師,改變了我十幾年的自卑,祝福許醫師事事順心、開心幸福~謝謝您!🙌

多年來牙齒泛黃且排列不整的煩惱,很謝謝許家榕醫生在不矯正的情況下,盡心盡力用美白貼片和全瓷冠的方式幫我解決,而且診所內有最新的醫療設備和齒模技士,一天內就可以快速完成牙齒美白!

大推許家榕醫師,超級細心又溫柔。我是極度容易緊張的人,遇到許醫師真的能讓我超安心的做完所有流程。我是做上排門牙四顆全瓷冠,做完後朋友們都超驚訝的說很真很漂亮。終於大笑不用捂著嘴巴了,真的是一百萬分的感謝!

服務親切耐心。這邊也感謝許家榕醫生超有耐心,面對容易緊張恐慌的病人,一直不斷解說步驟過程和說明,不斷的安撫,真的非常感激

超怕看牙醫的我,來悅庭都很放心,技術好服務好,環境真的很優質,謝謝許醫師給好給滿的情緒價值,過程中一直給予鼓勵以及安撫,結束後很安心也很滿意👍🏻讚讚讚

許醫生非常的細心,說明也很詳細,今日洗牙洗得仔細不痛,推薦給大家,也謝謝醫生。

我只有一個星期在台灣,以我所知治療日程都是特別加給我,牙齒維持器也是趕急件做好,非常感謝,重點是許醫師整個過程講解非常仔細,細心,治療的時候手勢也很温柔,不會不舒服,我有差點睡著聽不到他的指示。
許家榕醫師專注前牙美學與陶瓷貼片設計,結合數位掃描、微笑模擬與手工微調,規劃自然、細緻、不浮誇的笑容。從溝通、設計到完成,量身打造屬於你的理想微笑。
Copyright © 2026 Dr. Rong Smile Design All rights reserved.